Phân loại | Chi phí |
| Osstem ( Hàn Quốc) | 16.000.000 VNĐ |
| Hiossen ( Hàn Quốc – sản xuất tại Mỹ) | 20.000.000 VNĐ |
| Strauman Thụy Sĩ | 30.000.000 VNĐ |
| Implant vùng Răng cửa | + 2.000.000 VNĐ |
"Tôi đã tìm kiếm một địa chỉ uy tín để trồng răng implant và được bạn bè giới thiệu đến Huy Lan. Bác sĩ giỏi, tận tình, tôi rất hài lòng."
“Bác sĩ mát tay, chuyên môn cao và rất tận tâm. Tôi cảm thấy tự tin và trẻ trung hơn rất nhiều!”
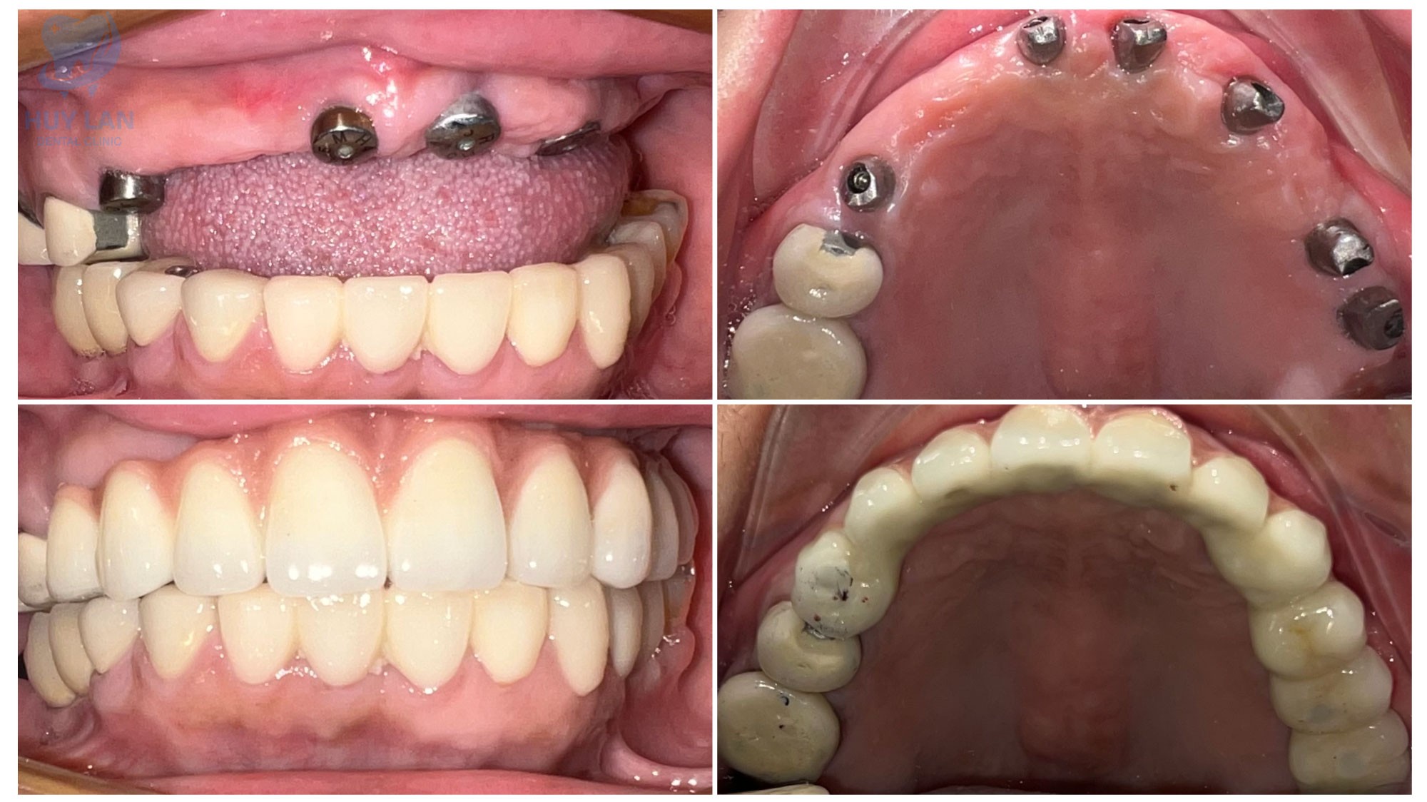
“Tôi bị mất răng và từng sụt 15kg do ăn nhai khó khăn. Sau khi trồng răng Implant toàn hàm tôi đã có thể ăn được những món yêu thích bình thường.”
"Sau khi làm implant toàn hàm, tôi thấy tự tin hơn khi cười và ăn uống rất thoải mái.”
Thời gian phục hồi sau khi cấy ghép Implant toàn hàm thường kéo dài từ 2 - 4 tuần. Thời gian phục hồi có thể nhanh hoặc chậm hơn tùy thuộc vào sức khỏe và khả năng lành thương.
Nếu được thực hiện bởi các bác sĩ dày dặn kinh nghiệm, tuân thủ đúng các tiêu chuẩn y khoa nghiêm ngặt và sử dụng công nghệ hiện đại sẽ giúp giảm thiểu rủi ro và đảm bảo tính an toàn cho người bệnh.
Chi phí trồng răng Implant toàn hàm sẽ phụ thuộc hoàn toàn vào tình trạng răng miệng và loại Implant được chọn. Để có được báo giá chi tiết nhất, hãy liên hệ ngay với Nha khoa Huy Lan để kiểm tra cùng bác sĩ nhé!
Tổng thời gian có thể kéo dài từ 3-6 tháng, bao gồm cả thời gian tích hợp Implant vào xương hàm. Mỗi giai đoạn sẽ kéo dài từ 3-5 lần hẹn.