
DỊCH VỤ | CHI PHÍ |
Cạo vôi đánh bóng 2 hàm | 400.000-1.500.000 VNĐ |
Công nghệ Airflow Prophylaxis | 2.000.000 - 3.000.000 VNĐ |
Cạo vôi răng trẻ em | 200.000 VNĐ |
“Lần đầu trải nghiệm cạo vôi thổi cát. Không đau và cảm giác rất dễ chịu.”
“Mới trải nghiệm cạo vôi thổi cát thôi nhưng rất mê nha. Làm sạch và không bị đau."
“Sau khi cạo vôi về hơi thở tôi không còn năng mùi nữa, răng nhìn cũng trắng sáng hơn."
“Cạo vôi xong thấy răng sạch sẽ và sáng bóng hơn nhiều."
Sau khi cạo vôi răng, bạn nên hạn chế đồ ăn đậm màu như cà phê, trà trong vài ngày để răng không bị nhiễm màu.
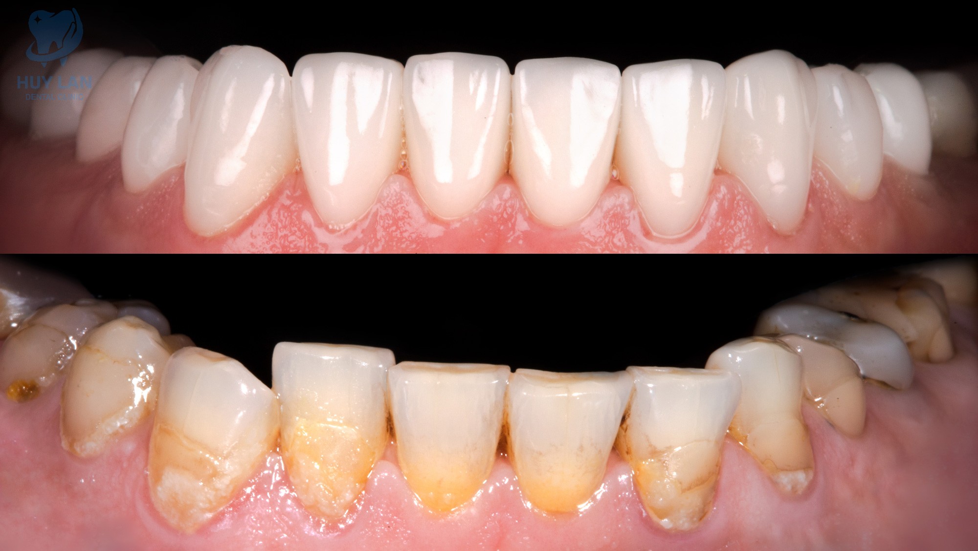
Cạo vôi chỉ giúp loại bỏ mảng bám tích tụ lâu ngày trên răng và không ảnh hưởng đến men răng khi được thực hiện đúng cách.
Cạo vôi răng thổi cát là phương pháp loại bỏ mảng bám một cách nhẹ nhàng, và hoàn toàn không gây đau đớn nên cực kỳ thích hợp với vùng nướu nhạy cảm quanh Implant. Ngoài ra, việc cạo vôi răng thổi cát định kỳ sẽ giúp ngăn ngừa viêm nhiễm và bảo vệ, kéo dài tuổi thọ Implant.
Có thể. Cạo vôi răng thổi cát giúp làm sạch triệt để các vùng quanh mão răng sứ, loại bỏ mảng bám và vi khuẩn tại những kẽ hở khó tiếp cận mà phương pháp khác không xử lý được, giúp xử lý mùi hôi triệt để..
Tại Nha khoa Huy Lan, chúng tôi ứng dụng công nghệ thổi cát hiện đại giúp quá trình cạo vôi diễn ra nhẹ nhàng, nhanh chóng mà không gây đau buốt khó chịu.