PHỤC HÌNH CỐ ĐỊNH | CHI PHÍ |
| Cắt mão | 500.000 VNĐ/Răng |
| Tháo chốt | 1.000.000-1.500.000 VNĐ/Răng |
| Chốt kim loại đúc( 1 chân) | 1.000.000 VNĐ/ Chốt |
| Chốt kim loại đúc( nhiều chân) | 1.500.000 VNĐ/Răng |
| Chốt kim loại làm sẵn | 500.000 VNĐ/ Chốt |
| Mão kim loại Titan | 3.000.000 VNĐ/Răng |
| Sứ kim loại Titan | 3.000.000 VNĐ/Răng |
| Mão toàn Sứ DDbio | 4.500.000 VNĐ/Răng |
| Mão toàn Sứ Cercon Heat (Cercon HT) | 6.000.000 VNĐ/Răng |
| Mão toàn sứ Lava Plus – 3M ESPE | 7.000.000 VNĐ/Răng |
"Ăn nhai thoải mái, không lo ê buốt nữa. Quá hài lòng với quyết định bọc răng sứ."
“Răng sứ màu sáng đep tự nhiên, ưng ý lắm!”
“Sau bọc răng sứ, răng mình đều và sáng hơn. Quy trình nhẹ nhàng, không đau đớn.”
“Răng mới trắng đẹp, khi cười tôi tự tin hẳn!”
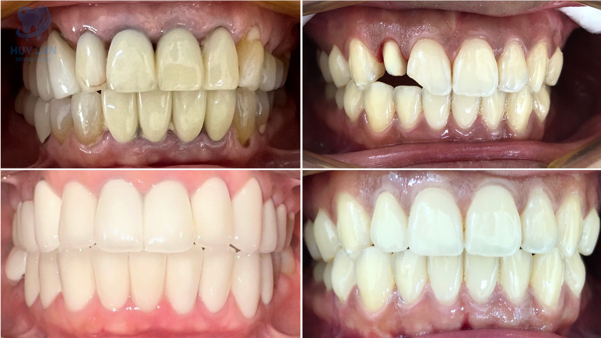
Bọc răng sứ cần mài đi 1 phần răng thật nhằm tạo khoảng trống để lắp mão răng sứ. Tuy nhiên, với tay nghề của các bác sĩ tại Nha khoa Huy Lan, độ xâm lấn sẽ được duy trì ở mức tối ưu nhất.
Sau khi bọc răng sứ, bạn nên tránh dùng các loại thức ăn quá cứng/nóng hoặc đậm màu để bảo vệ độ bền và màu sắc của răng.
Tuổi thọ của răng sứ có thể kéo dài từ 10-20 năm hoặc lên đến trọn đời nếu bạn chăm sóc đúng cách.
Trước khi mài răng, các bác sĩ sẽ gây tê vùng điều trị để giảm cảm giác ê buốt. Sau khi bọc, bạn có thể có cảm giác khó chịu nhẹ trong vài ngày đầu, nhưng sẽ nhanh chóng hết.