
NHỔ RĂNG | CHI PHÍ |
Răng khôn trên | 2.000.000 -2.500.000 VNĐ/ Răng |
Răng khôn dưới | 2.500.000 -5.000.000 VNĐ/Răng |
“Mặt dán sứ veneer tinh tế, nhẹ nhàng, không cần mài răng. Màu sáng đẹp tự nhiên, tôi rất hài lòng.”
"Mặt sứ mỏng mà chắc chắn, không lo bong tróc. Mình ăn uống thoải mái.”
“Làm răng xong ai cũng khen mình cười đẹp.”
“Mặt dán sứ mỏng nhẹ, trông hệt như răng thật nhìn rất ưng ý.
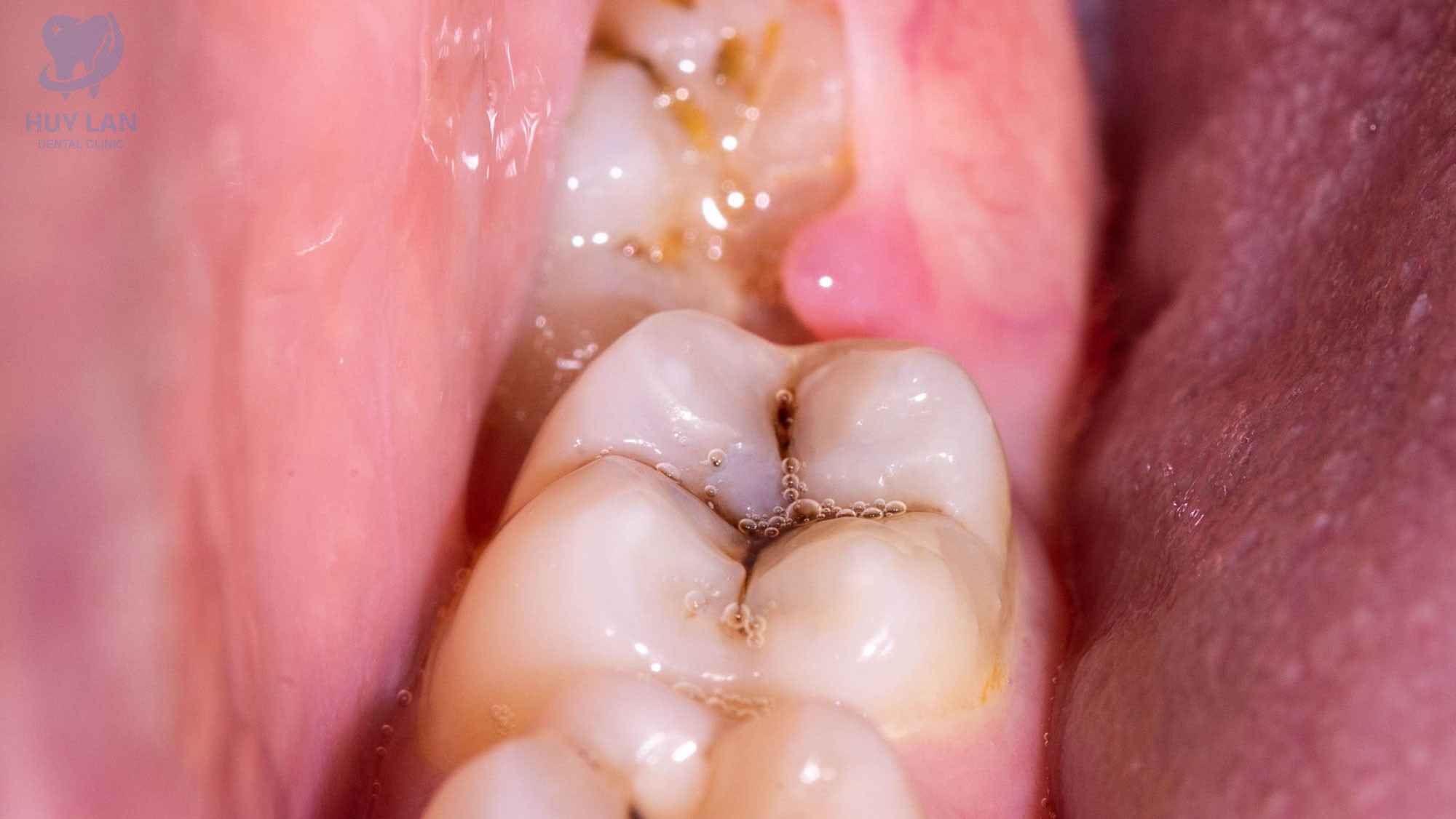
Nhổ răng khôn không ảnh hưởng đến sức khỏe mà còn làm giảm đau nhức và hạn chế các biến chứng răng miệng nguy hiểm khác.
Bạn nên chờ khoảng 1-2 giờ sau khi nhổ và ưu tiên sử dụng các thực phẩm mềm, nguội trong vài ngày đầu
Thông thường, vết nhổ sẽ lành trong vòng từ 1-2 tuần, tùy vào cơ địa và khả năng lành thương của từng người
Trước khi nhổ, các bác sĩ sẽ gây tê vùng điều trị để bạn không cảm thấy đau trong quá trình thực hiện. Khi nhổ xong tình trạng đau nhức có thể diễn ra vào 2-3 ngày đầu và sẽ giảm dần về sau.